
Invictus 1.5
Ensure high quality and fast acquisition with IAI
The MRI, medical staff and patients are satisfied
- Short scanning time
- Real-time display of magnet status information
- Remote smart monitoring
- 20kW frequency

Invictus 1.5

Ultra-high uniform technology image
16 channel platform and Pro 3.3 generation propeller anti-artifact technology

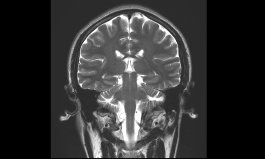
Brain

Knee

L-Sprine
High quality vascular image
The best results of a collection of TONE/SLINKY/MTC

IAI
The original AI technology of SG healthcare Improve both scan time and image quality

- Up to 50% scan time
Advanced Visualization Solution
Making it easy for healthcare providers to share patient images,
collaborate on clinical workflows, and communicate diagnosis report.

Post-processing collaboration, powered by SG Healthcare clinical packages and tools.
Put PACS and workstation together with innovative cloud solution.
Consultation and support with remote access available
24/7 monitoring
Remote upgrade for the latest software and firmware
Various images acquisition








